
Bangkok, Thailand – Chulabhorn Hospital has achieved a significant milestone in neurosurgery, successfully performing a minimally invasive brain tumor operation through the eyebrow, eliminating the need for large skull openings.
Bangkok, Thailand – Chulabhorn Hospital has achieved a significant milestone in neurosurgery, successfully performing a minimally invasive brain tumor operation through the eyebrow, eliminating the need for large skull openings.

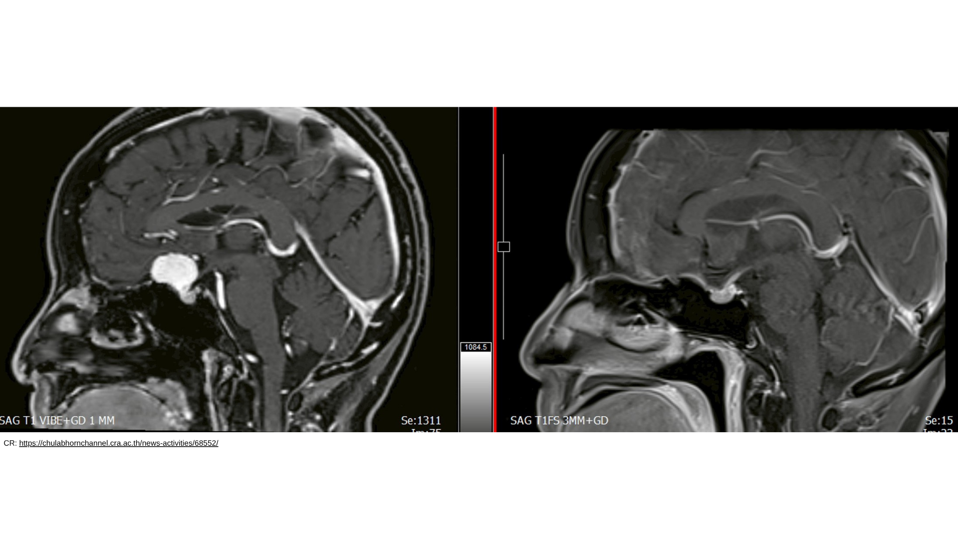
The procedure was led by Dr. Jonathan Aran Tangsrivimol, a neurosurgeon at the hospital, who treated a patient with a tumor located at the anterior skull base using the advanced Eyebrow Keyhole Approach. This highly precise surgical technique allows access to the brain through a small incision hidden within the eyebrow, significantly reducing trauma to surrounding brain tissue and critical structures.

The surgery utilized a combination of advanced technologies, including surgical microscopes, endoscopic visualization, and navigation systems, enabling high accuracy throughout the procedure. Compared to traditional open skull surgery, this minimally invasive method offers multiple benefits, including reduced surgical impact, shorter hospital stays, and faster recovery times.
The operation was completed successfully, with the tumor fully removed. Following the procedure, the patient demonstrated a strong recovery and was able to return to normal daily activities.
This achievement highlights the growing capabilities of Thailand’s neurosurgical expertise and reflects the advanced training of medical professionals at Chulabhorn Hospital. The surgical team has received specialized training from leading global institutions, including NewYork-Presbyterian Hospital and Cornell University in New York, United States.

Chulabhorn Hospital is recognized as a center of excellence in advanced neurosurgery, offering cutting edge techniques such as the eyebrow keyhole approach, endoscopic transorbital surgery, and endoscopic endonasal procedures. These innovations enable the treatment of complex neurological conditions in line with international standards, reinforcing Thailand’s position as a leader in advanced medical care in the region.
Source : Chulabhorn Hospital
Articles in this category are written by our editorial team to keep you informed about the latest healthcare and medical tourism news.